Сочетанная травма как основное заболевание

· Данных компьютерной томографии от 03.10.2011: Определяется перелом в области правого лобно-скулового шва, распространяющийся на латеральную стенку орбиты. Перелом верхней челюсти без существенного смещения отломков справа, с нарушением целостности передней и задней стенки верхнечелюстной пазухи. Перелом в области нижнеглазничного края правой орбиты. Перелом правой скуловой кости. Тотально затемнена правая верхнечелюстная пазуха. В задне - базальном отделе правого легкого определяется полость с участками уплотнения легочной ткани вокруг (гематома).

Лечение и его обоснование

Общие принципы лечения

Переломы бедренной кости лечат вытяжением. Гипсовые повязки и шины не обеспечивают правильного положения отломков. Гипсовые повязки не гарантируют от вторичных угловых смещений с образованием варусных деформаций типа "галифе".

Консервативное лечение:

Целесообразно скелетное вытяжение на функциональной шине Белера. Спицу Киршнера проводят через проксимальный метафиз большеберцовой кости ниже ее бугристости, реже через дистальный метафиз бедренной кости. Для правильного выполнения вытяжения больного укладывают на матрац, под который подкладывают щит из досок. Поврежденную конечность фиксируют на функциональной шине в положении физиологического покоя, которую создают сгибанием в тазобедренном суставе под углом 140° и в коленном под тем же углом. Величина отведения ноги зависит от высоты перелома: чем выше перелом, тем отведение должно быть больше. Вытяжение осуществляют при помощи груза за бедро от 3 до 6 кг и голень (лейкопластырное вытяжение) от 1 до 2 кг. Для противотяги ножной конец кровати приподнимают на 20-30 см и ставят на подставки. Ребенка фиксируют специальными лямками через паховую область здоровой стороны, что также предупреждает сползание его к ножному концу кровати.

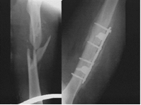
Оперативное лечение. Наиболее распространённым методом оперативного лечения перелома диафиза бедра является интрамедуллярный остеосинтез металлическим штифтом. При этом чаще пользуются ретроградным методом его введения. Другим методом является экстрамедуллярный остеосинтез массивными компрессирующими пластинами.

После стабильного остеосинтеза внешнюю иммобилизацию гипсовой повязкой можно не применять. Трудоспособность восстанавливается через 3,5 - 6 мес.

Показания к оперативному вмешательству при переломах бедренной кости ограничены и могут возникнуть при неэффективности консервативных методов лечения (если оставшееся смещение отломков угрожает возникновением стойких деформаций), интерпозиции мягких тканей между отломками, открытых переломах, сопровождающихся значительным повреждением мягких тканей бедра, а также при неправильно сросшихся переломах.

Лечение данного больного

При данном типе травмы изначально методом лечения использовалось скелетное вытяжение, затем было произведено оперативное лечение: закрытая репозиция, интрамедуллярный МОС с блокированием перелома правого бедра с рассверливанием костномозгового канала.

. Постельный режим

. Диета № 10

. Sol. Analgini 50% - 0.3 (в/м)

. Sol. Dimedroli 1% - 0.3 - 3 раза в день (в/м)

. Sol. Glucosae 40% - 400ml, в/в.

. Физиолечение: - Магнитотерапия

Перейти на страницу: 1 2 3 4 5 6