Перивентрикулярный энцефалит при травматической болезни - нередкое явление, сопровождающее заживление мозговой раны. Постоянным слагаемым перивентрикулярного энцефалита является внутренняя гидроцефалия, проявляющаяся в позднем периоде травматической болезни мозга в виде прогрессирующего расширения желудочков. http://clevermed.ru картинки по запросу сколько стоит аппарат увт домашнии.
Причиной развития перивентрикулярного энцефалита может быть черепно-мозговая травма, не сопровождающаяся повреждением стенки желудочков; в этих случаях развивается диффузный процесс, связанный с обоими боковыми желудочками, а иногда и III желудочком.
Нередко перивентрикулярный энцефалит сочетается с выраженным посттравматическим хроническим арахноидитом.
Продуктивный перивентрикулярный энцефалит хронического течения макроскопически проявляется изменением эпендимы, которая становится шероховатой, зернистой, плотной на ощупь, так называемый "гранулярный эпендиматит".
В гистологической картине преобладает гиперплазия эпендимарных клеток и субэпендимарных фибриллярных астроцитов, инфильтрация лимфоцитами, макрофагами, плазматическими клетками стенок субэпендимарных сосудов.
Важнейшим компонентом в гистологической картине перивентрикулярного энцефалита являются изменения сосудистых стенок. К интраадвентициальным воспалительным инфильтратам подострой стадии, в позднем периоде присоединяются интенсивно выраженные пролиферативные изменения всех клеточных и волокнистых элементов стенок желудочков. При этом отмечается субэпендимарный глиально-волокнистый глиоз, гипертрофия астроцитов, разрастание аргирофильных волокон. Утолщение и гиалиноз стенок артерий и вен почти постоянно наблюдаются в микроскопической картине продуктивного перивентрикулярного энцефалита любого происхождения.
Эпендима местами слущена, местами пролиферирует с явлениями гипертрофии; погруженные в толшу субэпендимарного слоя, эпендимациты образуют "гнезда". В случаях "гранулярного эпендима-тита" на внутренней поверхности боковых желудоч-
ков обнаруживаются скопления эпендимы в виде бляшек, выросты смешанного глио-мезодермального состава. Часто поверхность стенок желудочков равномерно волокнистая и мелкобугристая. Различной длины дивертикулы просвета желудочков отделяют друг от друга возвышения, обычно выстланные непрерывной каймой эпендимарных клеток .
Организация дефектов вентрикулярной стенки, независимо от их происхождения, идет за счет гиперплазии соединительно-тканных волокон субэпендимарных сосудов, субэпендимарных астроцитов и эпендимарных клеток.
Сосудистые сплетения в случаях хронического продуктивного перивентрикулярного энцефалита, как правило, находятся в состоянии прогрессирующей дистрофии, фиброза с утолщением сосудистых стенок и дистрофией клеток эпителия. Этот процесс иногда может привести к превращению сосудистого сплетения в фиброзный тяж, почти полностью лишенный ворсинок и покрытый одним слоем сморщенных эпителиальных клеток. Нередки случаи припаивания сосудистого сплетения к грануляционным или рубцовым разрастаниям желудочковой стенки.
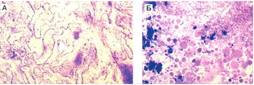
Дистрофические изменения сосудистого сплетения при хроническом перивентрикулярном энцефалите: А) отек ворсин, дистрофия эпителия; окраска гематоксилин-эозином, увеличение х 100; Б) бесструктурные белковые и известковые отложения в стромс сосочков; окраска по Массону, увеличение х 100.
Все регионы должны иметь хорошо организованную службу нейротравматологической помощи.
Служба нейротравматологической помощи пострадавшим с тяжёлой и средней тяжести ЧМТ должна включать нейрохирургическое отделение, дежурного хирурга-травматолога, дежурного нейрохирурга, постоянно готовую к работе операционную, укомплектованную оборудованием и персоналом, отделение реанимации и лабораторную службу, и все необходимое для лечения пострадавших с нейротравмой оборудования. Возможность проведения компьютерно-томографического исследования должна быть обеспечена в любой момент.
В труднодоступных регионах, где нет нейрохирурга, местный хирург должен уметь проводить тщательное неврологическое обследование и первичные мероприятия специальной нейротравматологической помощи. Он обязан владеть жизне-спасающими операциями при оболочечных гематомах у пострадавших с клиникой вклинения ствола мозга.
Подбор очковой коррекции |
Закаливание организма |
Гигиена полости рта |